Dentes do Siso Implantes & Enxertos
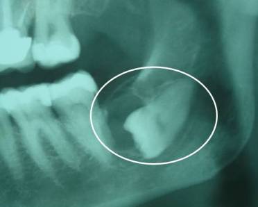
1- DENTES RETIDOS OU INCLUSOS (DENTES DO SISO)
Remover dentes retidos ou dentes do siso é uma cirurgia que eu faço quase que diariamente com enorme prazer e satisfação.
Clique no link DENTES DO SISO para saber mais sobre esses dentes tão famosos.

2- IMPLANTES DENTÁRIOS E ENXERTOS NOS MAXILARES
Como especialista em cirurgia bucomaxilofacial, no que diz respeito a reabilitação oral com implantes, dedico-me exclusivamente às cirurgias para instalação dos implantes dentários nos maxilares e às cirurgias para realização dos enxertos ósseos e de tecido mole (tecido conjuntivo) quando necessários, deixando as próteses dentárias colocadas sobre os implantes para o cirurgião-dentista especialista em prótese dentária, acreditando que desta forma cada especialista pode dar o seu melhor em benefício do paciente.
Acesse o link IMPLANTES & ENXERTOS e informe-se a respeito deste tratamento que revolucionou a odontologia.
Muito obrigado pela atenção!
Para maiores informações ou para agendar uma consulta é só entrar em contato (fone/whatsapp: 11 3251-4221) ou preencha os campos abaixo que retornaremos prontamente: